Skip to content

Are you ready to change your smile?

Dental Implants, Veneers & Full-Mouth Restoration

Schedule a Consultation to change your smile, and life, today!

Contact Us - We'd Love To Hear From You!

Fortson Dental Implant Center

248-963-0019 office

HOURS:
Monday - Closed
Tuesday - 8:00am - 3:00pm
Wednesday - 8:00am - 4:00pm
Thursday - Closed
Friday - 8:00am - 3:00pm

implants

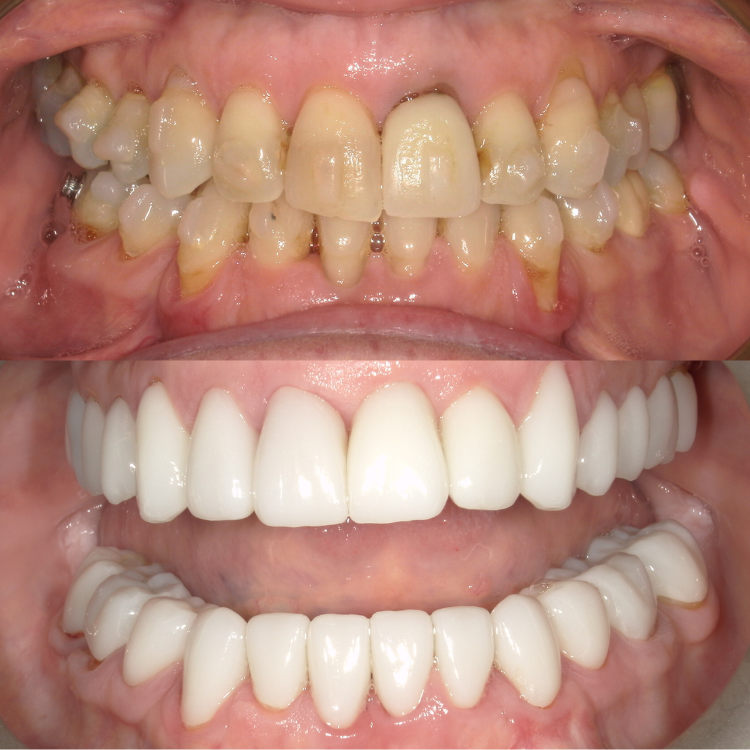
Check Out Our Smile Gallery

Are you a candidate for dental implants?

Every dental implant case is unique and our team will consider all the key criteria to determine whether you are a good candidate for traditional or All-on-4 implants. A few key considerations here are:

  • Your overall health. Before undergoing dental implant surgery it’s important that both your dental health and overall health are in good shape. This means getting health issues like diabetes under control and quitting smoking.
  • Dedication to oral health. While an implant can quickly provide you with a beautiful smile, it will only keep if you stay committed to a proactive dental health routine including regular dental check-ups, flossing, and brushing.
  • Sufficient jawbone density. To create a stable base, dental implants require a healthy jawbone where our doctors can insert the implant.
  • Healthy gums. Along with the importance of a strong jawbone, having healthy soft tissue is also extremely important for proper healing.

27347 Southfield Road, Lathrup Village, MI 48076

MEET THE FORTSON DENTAL IMPLANT TEAM

The team at Fortson Dentistry is committed to offering the best dental implant procedures to our patients in Southeast Michigan including Southfield, Berkeley, Royal Oak, and Lathrup Village. Our team is highly skilled and utilizes the latest technology including All-on-4® dental implants that provide exceptional stability, functionality, and helps prevent bone loss.

Dr. Cory Fortson

Dr. Cory Fortson

Dr. Cory Fortson, DDS began his educational journey by earning a BS in Nutritional Science from Michigan State University. He is a 2014 graduate of The University of Detroit Mercy Dental School and a third-generation dentist who is proud to provide excellent dental care to the Lathrup Village community. 

With his dedication to excellence and continued growth, Dr. Fortson has completed extensive continuing education courses in orthodontics (braces and clear aligners), endodontics (root canal therapy), cosmetic dentistry, and has completed advanced Implant Training for All on 4 dental implants under an apprenticeship with Prosthodontist-Surgeon, Dr. Albert Wesley.

He always strives to create a comfortable atmosphere for his patients while restoring their smiles. Dr. Fortson’s goal is to take the stress out of dental visits by meeting all his patients’ dental needs while offering the most up to date painless treatment options to deliver a beautiful smile.

When Dr. Fortson is not busy improving smiles, he enjoys spending time with his wife and two sons, snowboarding, golfing, and mountain biking. Dr. Fortson is passionate about giving back to his community through his dedication to the Lathrup Village Lion’s Club.

Professional Memberships:

  • Michigan Dental Association
  • Oakland County Dental Society
  • Global Dental Implant Academy
Dr. Catherine El Hadi

Dr. Catherine El Hadi

Dr. El Hadi prides herself in providing optimal, quality care to all her patients. She is empathetic, and compassionate and strives to improve her patients’ overall health by maintaining and creating healthy smiles.

Dr. Catherine El Hadi received her Doctor of Dental Surgery degree from the University Of Detroit Mercy- School Of Dentistry with an extended award in prosthodontics. She completed her undergraduate studies at the University of Michigan, graduating with high distinction.

Dr. El Hadi is committed to building long-term relationships with her patients and their families, creating a comfortable and friendly environment.

She emphasizes continuing education and training to expand her knowledge and bring her patients the most updated dental techniques. Her aspiration to help others has led her to participate in a mission trip to Jamaica to provide oral health education and dental services to the underserved community.

Aside from her love for dentistry, Dr. El Hadi enjoys traveling, spending time with her family and friends, CrossFit training, and painting.

Professional Memberships

  • American Dental Association
  • Michigan Dental Association
  • Academy of General Dentistry
Dr.-Latonya-Waller-North-1-2-scaled

Dr. Latonya Waller

Dr. LaTonya Waller loves bringing a smile to each patient's face by delivering high-quality comprehensive dental care and affordable dental implants.

Dr. Waller strives to exceed the expectations of her patients in a comfortable and pain-free setting. After earning her Bachelor's in Biology from the University of Michigan, Ann Arbor in 2008, followed by a doctorate in dental surgery from Detroit Mercy School of Dentistry in 2013, she now holds an active Michigan Dental License. Dr. Waller has completed advanced implant training for All on 4 dental implants under an apprenticeship with Prosthodontist-Surgeon, Dr. Albert Wesley.

When not working on restoring beautiful smiles, Dr. Waller enjoys watching her new daughter, Ava Lynn, explore and discover the world. She is a true animal lover and advocate, sharing her home with two cats and a dog. Dr. Waller enjoys cooking with friends and family, staying active at her local Orange Theory gym, watching Michigan football (Go Blue!) in the fall, skiing in the winter, and gardening in the summer.

She is committed to giving back to her community through mentoring undergraduate students in the Health Science Scholars Program (HSSP) at the University of Michigan.

Professional Memberships

  • American Dental Association
  • Michigan Dental Association
  • Chicago Dental Society
  • Global Diagnosis Study Club

Our team

If you’re in the Detroit metro area and are looking for a place to get dental implants near you, the Fortson Dental Implant Center is your perfect solution. Our team is experienced in providing All-on-4 full-arch fixed dental implant bridges, Teeth in a Day, as well as traditional implants. We also offer restorative implants, such as dental implant supported dentures, dental bridges, as well as dental crowns for single tooth replacements. Our doctors, assistants, and administrative staff are highly trained and are committed to providing our patients with a relaxed, comfortable, and safe environment. They go above and beyond to gain our patients’ trust and build long-lasting relationships.

Chrissy

CHRISSY

Specialty Services Manager
Michelle

Michelle

Specialty Services Coordinator
Bridget

Bridget

Dental Assistant
Colby

Colby

Dental Assistant
Crystal

Crystal

Dental Assistant
White Computer Mouse | Lathrup Village, MI

REQUEST YOUR CONSULTATION!

Fill out and submit the form below with your information and your appointment preferences and we'll be in touch with you as soon as possible.

    We Work With Several Lenders

    We will be happy to discuss your payment options for your dental implant treatment. 
    Please give our office a call and ask for our Specialty Services Coordinator.

    Fortson Dentistry Logo | Lathrup Village, MI

    WHAT MAKES FORTSON DENTISTRY UNIQUE?

    Entrusting your smile and the smiles of your family is not a task that we take lightly. At Fortson Dentistry, we pride ourselves on providing only the highest quality dental services, to ensure that you and your family never need to experience the painful and expensive experience of choosing the wrong doctor.

    The qualities of our practice that set us apart:

    Family Oriented • Safe, Fun Environment For All
    The Highest Quality Dental Care in Lathrup Village, MI • Customer Care is Our Specialty